Pediatric dentistry is a dental specialty focused on the prevention, diagnosis, and treatment of oral health problems in children. Pediatric dentists have specific training that qualifies them to provide care for children’s teeth and gums as they change throughout childhood. Pediatric dentists provide comprehensive care, from preventative treatment like cleanings and sealants to treatment for oral disease and injuries. A pediatric dentist will also counsel parents about a child’s nutritional and hygienic habits.


Did you know…

    that early childhood caries is the most common chronic disease in children? It is far more prevalent than other common childhood illnesses. Furthermore, tooth decay and gum disease that begins early in life are likely to progress over time, potentially leading to a lifetime of oral complications.


  • FLUORIDE APPLICATION

  • HABIT BREAKING APPLIANCE

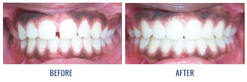
  • ORTHODONTIC TREATMENT


Frequently Asked Questions

A pediatric dentist will treat patients from birth through adolescence. Children will continue to visit the dentist periodically throughout childhood to prevent tooth decay and gum disease.
Our staff is happy to assist you through the process of making the first appointment for your child. Simply call our office to speak with one of our helpful staff members and schedule your child’s visit. We aim to make your child’s experience as comfortable as possible.

SERVICES PROVIDED FOR CHILDENS:

  • - Dental xrays
  • - Dental fillings
  • - Root canal treatment
  • - Crowns and bridges
  • - Fluoride application
  • - Orthodontics
  • - Habit breaking appliances
  • - Dental extractions
  • - Scaling and polishing